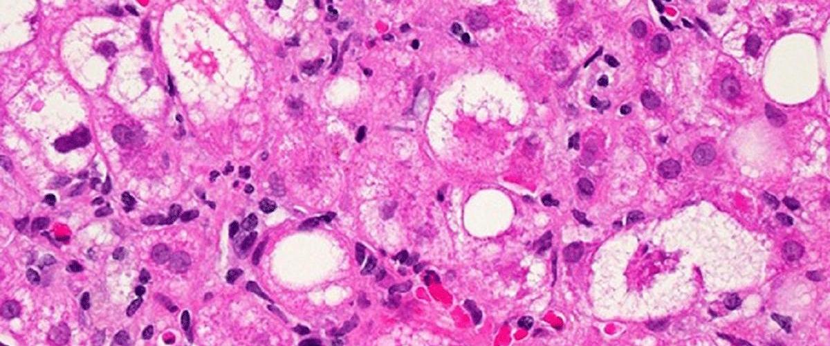
Неалкогольный стеатогепатит является второй стадией неалкогольной жировой болезни печени, заболеваемость которой оценивается на уровне 32% взрослого населения. И если первые симптомы жировой болезни печени можно корректировать с помощью диетического питания и физических упражнений, то поражения при НАСГ более серьезные и часто необратимые. В первую очередь, симптомы проявляются воспалением и рубцеванием ткани.
Ученые из Мичиганского университета выяснили, что причиной неалкогольной жировой болезни печени и НАСГ является нарушение метаболизма глицина, пишет EurekAlert. Раскрыв этот механизм, они разработали экспериментальный препарат DT-109 — трипептид на основе глицина.
На моделях мышей и приматов DT-109 обращал вспять накопление жира в печени, а также предотвращал рубцевание. Кроме того, лечение стимулировало расщепление жирных кислот и образование антиоксидантов. Препарат также подавлял выработку литохолевой кислоты, тесно связанной с жировой болезнью печени.
«Этот прорыв в доклинических моделях позволяет рассматривать DT-109 в качестве кандидата для будущих клинических исследований», — заявил соавтор работы Цзифэн Чжан. По словам ученых, новый подход может стать надеждой для миллионов пациентов с НАСГ.
Недавно другие ученые обнаружили, что жировая болезнь печени может приводить к деменции. Они раскрыли механизм, связывающий заболевание с нарушениями в работе мозга, которые провоцируют неврологические симптомы.

