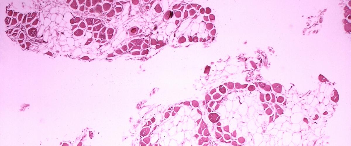
Ученые из Пенсильванского университета определили группу молекул, которые открывают возможности для разработки лечения людей с мышечной дистрофии Дюшенна — генетическим заболеванием, при котором мышечные волокна испытывают недостаток белка дистрофина. Ученые стремились найти методы лечения болезни не прибегая к генной терапии. Первые результаты доказывают, что это возможно.
Сегодня основным направлением в работе многих групп ученых является увеличение белка утрофина, поскольку он имеет схожие с дистрофином характеристики и генетическую структуру. Введение дистрофина с помощью генной терапии связано с рядом ограничений и потенциальных побочных эффектов, поэтому некоторые ученые работают с альтернативными вариантами.
Организм человека с мышечной дистрофией Дюшенна не вырабатывает дистрофин, однако продуцирует утрофин, который потенциально может его стать заменителем.
В экспериментах с мышами ученые протестировали 10 молекул, из которых впоследствии выделили одну — трихостатин А. Терапия трихостатином А привела к значительному улучшению функций и структуры мышечных волокон, показали эксперименты.
«Это совершенно новый метод увеличения утрофина для терапии мышечной дистрофии Дюшенна. Мы еще в начале пути, однако перспективы лечения открывают большие возможности для лечения человека», — заявил старший автор исследования Тейвир Хурана.
На сегодняшний день болезнь неизлечима и уже с подросткового возраста приковывает пациентов к инвалидному креслу. В большинстве случаев заболевание значительно сокращает продолжительность жизни.

