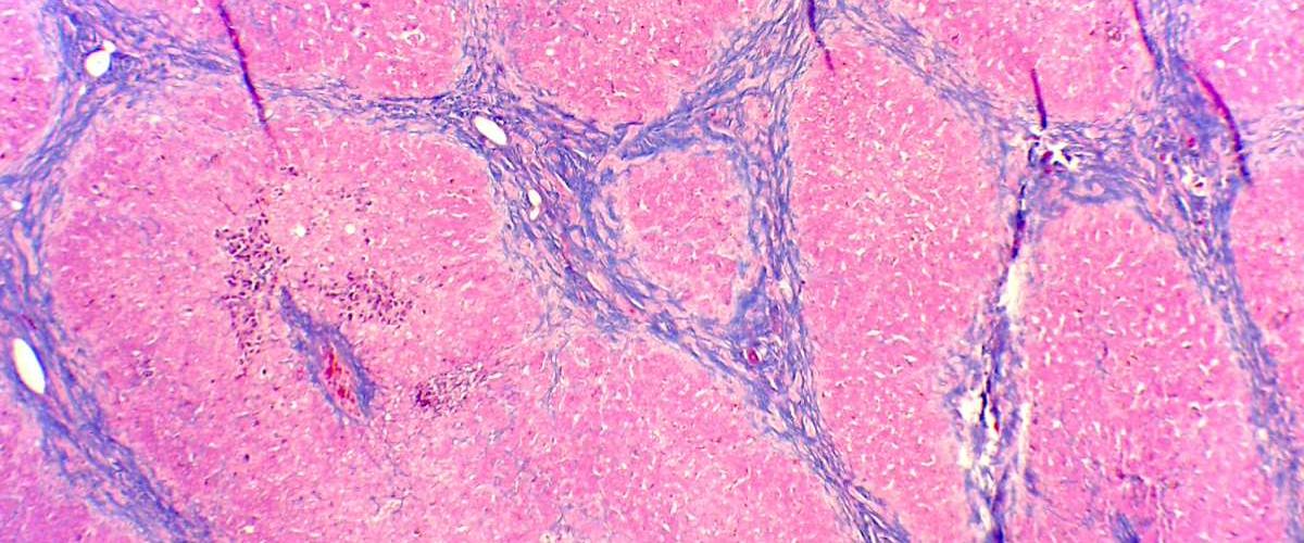
Фиброз печени может возникать по ряду причин, среди которых: гепатит, избыточное потребление алкоголя, неалкогольная жировая болезнь печени (НАЖБП) и другие заболевания. Например, НАЖБП поражает примерно четверть населения в мире, а в 20% случаев у этих пациентов развивается неалкогольный стеатогепатит, характеризующийся воспалением печени и фиброзом ткани. Распространенная проблема пока не имеет эффективных методов лечения и на прогрессирующей стадии требует трансплантации печени. Новый молекулярный механизм, представленный на сайте EurekAlert, демонстрирует, что на самом деле это состояние обратимо.
Ученые обнаружили, что в здоровой ткани печени отсутствуют миофибробласты, но при хроническом повреждении печени из-за любой из вышеупомянутых причин они активируются. Воспалительная реакция запускает активацию звездчатых клеток печени, которые из состояния покоя переходят в форму миофибробластов, запасающих витамин А, что в конечном итоге приводит к рубцеванию ткани.
«Отсутствие эффективных методов лечения фиброза объясняется вниманием ученых к отдельным причинам. Новый терапевтический подход направлен на причины нарушений образования миофибробластов, а также на источник повреждения печени (вирусную инфекцию, алкоголь и др.). Благодаря этому звездчатые клетки могут вернуться в свое естественное состояние, а фиброз исчезнет», — заявил соавтор работы Дэвид Бреннер.
Пока продолжается этап доклинических исследований. Сейчас ученые должны доказать, что предложенная ими терапевтическая стратегия эффективно справляется с фиброзом у лабораторных животных.
Тем временем другая команда изучала уже доступные методы профилактики прогрессирования фиброза и обнаружила пользу диеты: продукты, содержащиеся в рационе японцев, показали высокую эффективность для снижения негативных последствий фиброза.

