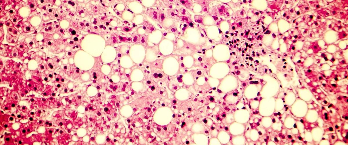
Неалкогольная жировая болезнь печени затрагивает примерно 25% населения и часто связана с ожирением и сахарным диабетом. Примечательно, что в отличие от европейцев и американцев азиаты не так подвержены ожирению, однако НАЖБП становится все более распространенным явлением в азиатских странах. Исследования показали, что НАЖБП без ожирения чаще приводит к летальному исходу, поэтому ученые из Цукубского университета стремились определить факторы риска болезни для людей без значимых симптомов.
В исследовании приняли участие 404 пациента с НАЖБП, которых разделили по группам: без ожирения, с ожирением, а также с тяжелой формой ожирения. Для сравнения ученые проанализировали данные 253 здоровых человек.
У пациентов с НАЖБП без ожирения была меньшая масса скелетных мышц и сниженная мышечная сила. При этом у них наблюдалось незначительное увеличение накопления жира в печени, а также резистентность к инсулину. Наличие висцерального жира было также низким по сравнению с пациентами с НАЖБП с ожирением.
Комплексный анализ данных показал, что накопление жира в печени при НАЖБП без ожирения было связано со следующими показателями: наличием висцерального жира, белком миостатином, предотвращающим рост мышечной массы, а также биомаркером крови HbA1c, который управляет уровнем глюкозы.
«Эти результаты показывают, насколько важны различия в проявлении НАЖБП у людей с ожирением и без», — заключили авторы. В настоящий момент болезнь остается неизлечимой и может приводить к циррозу и раку печени, поэтому ранняя диагностика и дальнейшие меры профилактики очень важны для замедления прогрессирования заболевания.
Например, ученые из Ирландии выяснили, что для профилактики НАЖБП регулярные физические упражнения важнее борьбы с избыточным весом. Эксперимент показал, что спорт улучшает состояние пациентов независимо от их успехов в похудении. И клинические результаты достигаются довольно быстро.

