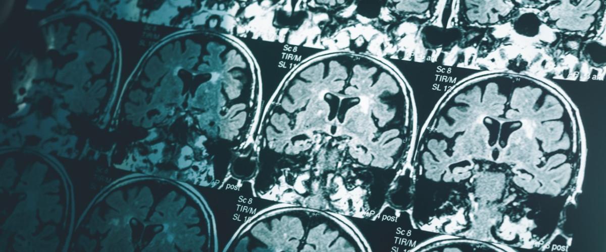
Болезнь Альцгеймера — наиболее распространенная форма деменции — относится к неизлечимым нейродегенеративным заболеваниям, поэтому диагностика на ранней стадии имеет ключевое значение для замедления прогрессирования заболевания. Сегодня определить диагноз достаточно сложно: врачи проводят различные когнитивные тесты, выполняется анализ спинномозговой жидкости, а также проводится сканирование мозга. Сканы необходимы для оценки объема гиппокампа и наличия отложений токсичных белков, однако эта диагностика напрямую зависит от квалификации врача.
Между тем даже очень опытный специалист не может заметить мельчайшие изменения в головном мозге, которые указывают на болезнь. С этой целью ученые из Имперского колледжа Лондона обратились к ИИ — они адаптировали алгоритм, который раннее был разработан для классификации раковых опухолей.
Головной мозг разделили на 115 областей и выделили 660 различных характеристик, по которым затем обучали ИИ.
В 98% случаев ИИ точно определял по МРТ пациента с деменцией. Кроме того, с точностью 79% алгоритм сообщал о стадии нейродегенерации — ранней или прогрессирующей.
Важно подчеркнуть, что тестирование проводилось на пациентах с различными типами деменции, а также среди людей с болезнью Паркинсона и неврологическими заболеваниями. «Сегодня никакие другие простые и доступные методы не могут предсказать болезнь Альцгеймера с таким уровнем точности», — прокомментировал автор работы Эрик Абоагье. Для тестирования ученые использовали данные МРТ-сканирований на стандартном аппарате мощностью 1,5 Тесла.
Примечательно, что ИИ также обнаружил изменения в областях мозга, которые ранее не связывали с нейродегенерацией. Например, мозжечок и вентральный промежуточный мозг. Эти данные помогут лучше изучить природу деменции.
Недавно в другом исследовании ученые нашли новые подтверждения связи деменции и COVID-19. Они обнаружили, что фрагменты SARS-CoV-2 образуют токсичные для нейронов амилоиды.

