Ученые собрали множество доказательств пагубного влияния COVID-19 на сердце пациентов. У некоторых, к примеру, повышается уровень тропонинов, молекул, которые попадают в кровь при повреждении сердца. У других возникает воспаление перикарда и самого сердца. Но являются ли эти проблемы следствием непосредственной атаки SARS-CoV-2 на орган или результатом разлада иммунной системы — не ясно.
Частично загвоздка в том, что предыдущие исследования не всегда обнаруживают доказательства вторжения SARS-CoV-2 в сердечные ткани. Дело может быть в том, что многие из тех, кто не нашел вируса в сердце, применяли полимеразную цепную реакцию в реальном времени (кПЦР), которая реагирует на РНК вируса. Однако после вскрытия сердце зачастую хранят в веществах вроде парафина, который разрушает РНК.
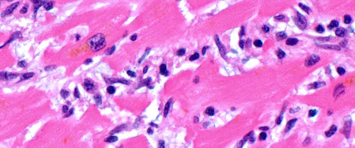
Поэтому ученые из Общеклинической больницы Массачусетса (США) выбрали другой метод, с помощью которого можно обнаружить вирусные РНК даже после того, как они были разбиты на части. Вдобавок они проанализировали около 1000 образцов сердечных тканей, больше 20 от каждого из 41 пациента, сообщает Science.
SARS-CoV-2 был обнаружен у 30 из них, то есть в трех четвертях образцов. И только эти пациенты испытывали перед смертью мерцательную аритмию, нерегулярный сердечный ритм или нарушения в сокращении сердца.
Все еще неясным остается, атаковал ли вирус сердце напрямую. Большинство инфицированных сердечных клеток были иммунными, которые мог поразить SARS-CoV-2 в других частях организма. Также неизвестно, вызвал ли проблемы с сердцем коронавирус, или это были иммунные клетки.
Как бы то ни было, исследование помогает объяснить, почему стероид дексаметазон так хорошо помогает некоторым пациентам. Только у 50% тех, кто получал этот препарат, был обнаружен впоследствии вирус в сердце, по сравнению с 90% тех, кто не принимал это лекарство. Впрочем, скромные размеры исследования не позволяют утверждать, что этот медикамент защищает лучше.
По мнению ученых из Вашингтона, случаи поражения сердца у пациентов с COVID-19, происходят не из-за воспалительных процессов в ответ на инфекцию. Скорее, это вирус SARS-CoV-2 сам вмешивается в работу сердечных мышц.

