До сих пор считалось, что большинство клеток в человеческом организме дифференцируются только в один и тот же тип с заданными функциями. Группа европейских и американских ученых доказывает, что это не так. Они показали, что клетки человека способы менять свою первоначальную функцию. Это опровергает более ранние выводы многих ученых.
Команде удалось доказать эту способность через воздействие на определенные сигналы в клетках человека, сообщается на сайте Бергенского университета (Норвегия).
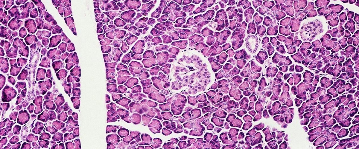
Ученые сконцентрировались на клетках поджелудочной железы — альфа, бета и дельта-клетках. Ранее считалось, что только бета-клетки способны синтезировать инсулин. Ученым с помощью факторов транскрипции PDX1 и MAFA удалось «научить» этому и другие клетки.
Действуя на бета и альфа-клетки, команда добилась от них выработки инсулина — что раньше не входило в их «круг обязанностей». Эффект был достигнут как в здоровых клетках, так и в клетках от доноров с диабетом.
После пересадки этих клеток мышам ученым удалось вылечить у них диабет. А также выяснить, что клетки сохраняли свою способность вырабатывать инсулин даже через шесть месяцев. Правда, когда их удалили, болезнь сразу же вернулась.
«Это означает, что мы, вероятно, сможем использовать собственные клетки пациента для лечения диабета, не опасаясь атаки иммунной системы», — говорит Хальга Редер.
Редер уверена, что пластичность клеток не ограничивается исключительно возможностями поджелудочной железы и такие способности есть во многих других типах клеток.
Нужны дальнейшие исследования, но потенциально это открывает широчайшие возможности для лечения заболеваний, которые обусловлены гибелью клеток определенного типа. Среди них нейродегенеративные, онкологические и сердечно-сосудистые заболевания.
Недавно ученые из США также сделали важное открытие для терапии диабета. Им впервые удалось создать зрелые инсулин-продуцирующие клетки из стволовых.

